Cardiovascular Questions 26-30
Sunday, December 1, 2013
Answer 30
30. Choice C is the correct answer. This patient has diffuse ST elevation and symptoms consistent with pericarditis. This patient should be evaluated by cardiology but does not need to go straight to the cath lab. The patients symptoms do point to GERD being in the differential, but the patient has diffuse ST elevation that you would not have with GERD. Starting the patient on Vancomycin is not indicated right now. The majority of case of pericarditis are viral. Other less frequent causes are fungal, TB, post surgical, myxedema, drug induced, uremia, radiation, bacterial causes, and neoplasm.
Question 30
30. Your patient is a 25 year old male that presents with non radiating chest pain. The chest pain is better when he sits up and worse when he lays flat. His EKG is below. Which of the following is the best management option?
A. Send the patient to the cath lab for a STEMI
B. Start the patient on omeprazole. This is a normal EKG. The patient clinically has GERD
C. Get a bedside ECHO
D. Start the patient on Vancomycin
A. Send the patient to the cath lab for a STEMI
B. Start the patient on omeprazole. This is a normal EKG. The patient clinically has GERD
C. Get a bedside ECHO
D. Start the patient on Vancomycin
Answer 29
29. Choice D is the correct answer. Torsades de Point can be caused by low magnesium levels. This patient need defibrillation and likely magnesium infusion.
Question 29
29. Deficiency of which of the following electrolytes has been implicated in the rhythm depicted below on the EKG strip?
A. Calcium
B. Potassium
C. Sodium
D. Magnesium
A. Calcium
B. Potassium
C. Sodium
D. Magnesium
Answer 28
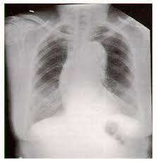
28. Choice B is the correct answer. This patient has a widened mediastinum. Marfan's as well as all connective tissue diseases are risk factors for aneurysms. The patient also so should have ECHO's periodically but emergently he needs an CTA of the Chest. Nitroglycerin would not be helpful. Heparin may be detrimental because he could be dissecting.
Question 28
28. Your patient is a 28 year old patient with Marfan's Syndrome that presents with chest pain. His EKG is normal. His chest x ray is below. Which of the following is the best management option?
A. Order a ECHO
B. Order a CTA of Chest with IV contrast
C. Start the patient on Nitroglycerin
D. Start the patient on heparin
A. Order a ECHO
B. Order a CTA of Chest with IV contrast
C. Start the patient on Nitroglycerin
D. Start the patient on heparin
Answer 27
27. Choice B is the correct answer. Mitral stenosis patients are prone to tachycardia and the mainstay of medical treatment is rate control. Dyspnea and orthopnea are common presenting symptoms. Rheumatic fever is the most common cause. Aortic stenosis can cause tachycardia but is less likely. Pulmonic regurgitation treatment is usually geared at targeting pulmonary hypertension which is usually the cause. Tricuspid regurgitation is usually caused by pulmonary hypertension also.
Subscribe to:
Comments (Atom)